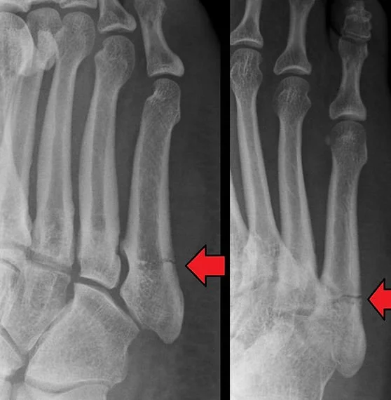
5th Metatarsal
(Jones) Fracture
A Jones fracture is a type of foot injury that affects the fifth metatarsal bone, which is located on the outer side of the foot. This fracture typically occurs from an acute injury, such as a sudden twist or impact, or from overuse and repetitive stress on the foot.
SYMPTOMS
Symptoms of a Jones fracture include pain, swelling, bruising, and difficulty walking or bearing weight on the affected foot.
TREATMENT
Treatment for a Jones fracture may include immobilization with a cast or boot, crutches to keep weight off the foot, and in some cases, surgery to repair the fracture and promote healing. Recovery from a Jones fracture can take several weeks or months, and may require physical therapy to regain strength and flexibility in the affected foot. If you suspect you have a Jones fracture, it's important to seek medical attention from an experienced orthopedic specialist who can provide an accurate diagnosis and personalized treatment plan to help you recover and prevent future injuries.
For more information click here or
call 435-734-2151 to schedule an appointment today
More information can be found at: